Quick Enquiry Form
Simply Smile
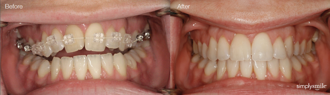
What Is Simply Smile?
Made of ceramic brackets and wires that blend with your natural tooth colour, Simply Smile is a discreet brace system designed to straighten the front teeth whilst preserving the aesthetics of your smile throughout the whole treatment process.
Why Simply Smile?
Instead of treating the way the back teeth bite together, the aim of this brace is to improve the smile, and it focuses on the six front teeth. Because of this, treatment time is a lot shorter than with other orthodontic systems.
How Does Simply Smile Work?
By putting light pressure on your teeth, Simply Smile braces gently move the teeth into the appropriate position. The system uses a combination of traditional and bespoke techniques.
Am I Suitable For Simply Smile?
Simply Smile braces are popular with adults, particularly those that engage in a lot of work in the public eye. Due to the discreet appearance of the brace, it doesn’t interfere with the aesthetics of the smile, so socialising is not affected by the treatment.
We recommend Simply Smile braces for patients who are concerned with the following issues:
- Straightening crooked teeth
- Gum line alignment
- Correcting flared teeth
- Closing gaps between teeth
- Time and complexity of treatment
FAQs
Are Simply Smile braces invisible?
As they are made from clear ceramic, the braces are very discreet and not as noticeable as other fixed brace systems.
Should I avoid eating certain foods during treatment?
You should avoid foods that contain high levels of sugar as well as crunchy, hard foods that can damage the brace. You must also follow a healthy diet whilst wearing Simply Smile braces.
Why is the treatment process so quick?
As the brace is designed to treat the aesthetics of your smile rather than your bite, treatment time doesn’t take as long as traditional orthodontics systems. Treating the bite can take around two years.
What do you mean by ‘improvement’?
The teeth that are most prominent when you smile, the six front teeth, will be straightened. Simply Smile braces work similarly to veneers in terms of improving your smile, but are an alternative to having your teeth drilled.
Will my teeth stay straight when the treatment is over?
You will be advised to wear a retainer afterwards, as with all orthodontic treatments. This is to ensure that your teeth don’t move back to their original positions once the brace has been taken out. A retainer can be a custom-made and removable, or a thin piece of wire attached to the back of your teeth. Removable retainers are generally only worn at night.
Will the brace hurt?
You won’t feel any pain when the brace is being fitted; however it is not uncommon for patients to feel some slight discomfort in the initial stages. This should only last for one or two days after the fitting.
Will my speech be affected?
As our Simply Smile braces are fitted to the front of your teeth, you won’t find any problems with speaking during the treatment process.
Want to know if Simply Smile is the right brace for you? Book a consultation with one of our experts at Dental Studio. We will be happy to talk through your orthodontic concerns with you and assess your situation in terms of treatment suitability. Call 02392 254234 to book a consultation.
“It’s like one big happy family”
Act Now! Call us today!
Waterlooville - 02392 254234Chichester - 01243 532992










